Food and nutrition

Omega-3 lowers inflammation, blood pressure in obese adults
A randomized study shows omega-3 supplements reduce proinflammatory chemokines and lower blood pressure in obese adults, furthering the understanding of how to modulate cardiovascular disease risk.

Zebrafish model links low omega-3s to eye abnormalities
Researchers at the University of Colorado Anschutz developed a zebrafish model to show that low maternal docosahexaenoic acid can disrupt embryo eye development and immune gene expression, offering a tool to study nutrition in neurodevelopment.

Engineered fusion protein targets kiwifruit pathogen
Synthetic protein selectively kills kiwifruit pathogen, offering a promising biocontrol strategy for agriculture. Read more about this recent JBC paper.

Omega-3 fats linked to healthy aging and improved heart metabolism
Scientists from the University of Iowa find that a diet high in polyunsaturated fatty acids from fish oil increases cardiac triglyceride uptake and improves insulin sensitivity. Read more about this recent JLR study.

A look into the rice glycoproteome
Researchers mapped posttranslational modifications in Oryza sativa, revealing hundreds of alterations tied to key plant processes. Read more about this recent Molecular & Cellular Proteomics paper.

Butter, olive oil, coconut oil — what to choose?
Depending on the chain length and origin of the fat, regular fat consumption changes the specific makeup of fats in bloodstream and affect mild to severe cholesterol patterns. Read about this recent Journal of Lipid Research study.

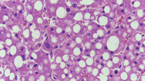
From the Journals: JLR
Promising therapeutic candidate for steatosis. Unique lipid profiles in glycogen storage disease. Microglial lactic acid mediates neuroinflammation. Read about these recent papers.

Ten interesting quotes from the JBC archives
Older papers include archaic quirks and long-abandoned biological concepts. Some show flashes of ideas that grew into their own fields, and others show that some things never change.

Cracking the recipe for perfect plant-based eggs
It involves finding just the right proteins. With new ingredients and processes, the next generation of substitutes will be not just more egg-like, but potentially more nutritious.